Histeroskopia
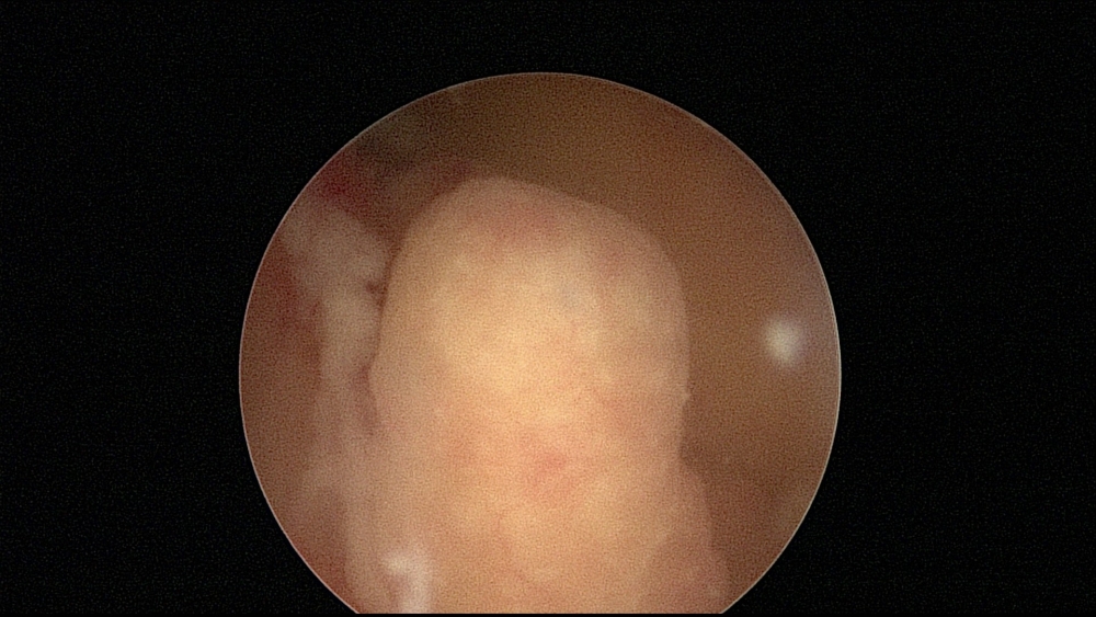
Histeroskopia jest endoskopową metodą diagnostyczno-terapeutyczną, umożliwiającą obrazowanie wnętrza kanału szyjki i jamy macicy oraz równoczasowe leczenie stwierdzonych tam nieprawidłowości.
Histeroskop składa się z 2 płaszczy i teleskopu sprzężonego z kamerą, przekazującą obraz na monitor. Pod płaszczem zewnętrznym przepływa podawany przez specjalną pompę płyn dystensyjny, którego zadaniem jest rozszerzenie jamy macicy i usuwanie zanieczyszczeń pojawiających się w polu widzenia. W obrębie płaszcza wewnętrznego znajduje się kanał roboczy dla narzędzi operacyjnych.
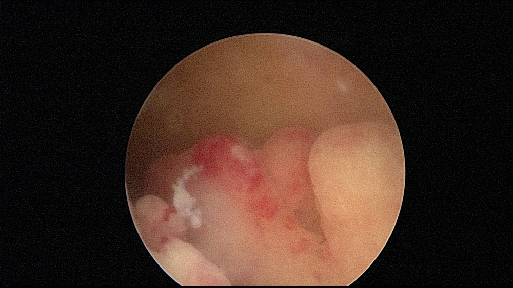
Instrumenty histeroskopowe mają jeszcze bardziej delikatną budowę niż narzędzia stosowane w laparoskopii. Spośród nich najczęściej używane są nożyczki, kleszczyki do preparowania lub biopsji oraz specjalne elektrody. Niektóre z tych ostatnich współpracują wyłącznie z bardziej skomplikowanymi histeroskopami – tzw. resektoskopami, wykorzystywanymi np. do usuwania śluzówki macicy (ablacja endometrium) lub wycinania dużych mięśniaków (przezszyjkowa resekcja mięśniaków).
Wskazania do histeroskopii diagnostycznej
Zgodnie z obowiązującymi standardami, zabieg ten zaleca się w przypadku:
- nieprawidłowych krwawień międzymiesiączkowych
- obfitych lub skąpych miesiączek
- wtórnym braku miesiączki
- krwawieniach pomenopauzalnych
- niepłodności lub niemożności donoszenia ciąży
- nieprawidłowego obrazu USG macicy
Wskazania do histeroskopii operacyjnej
Histeroskopia operacyjna znajduje obecnie zastosowanie w leczeniu następujących patologii macicy:
- mięśniaki podśluzówkowe
- polipy endometrialne
- przegroda macicy
- krwawienia maciczne nie poddające się leczeniu farmakologicznemu



